© Rintelen

ÖGR: Osteologie – The Bone Story

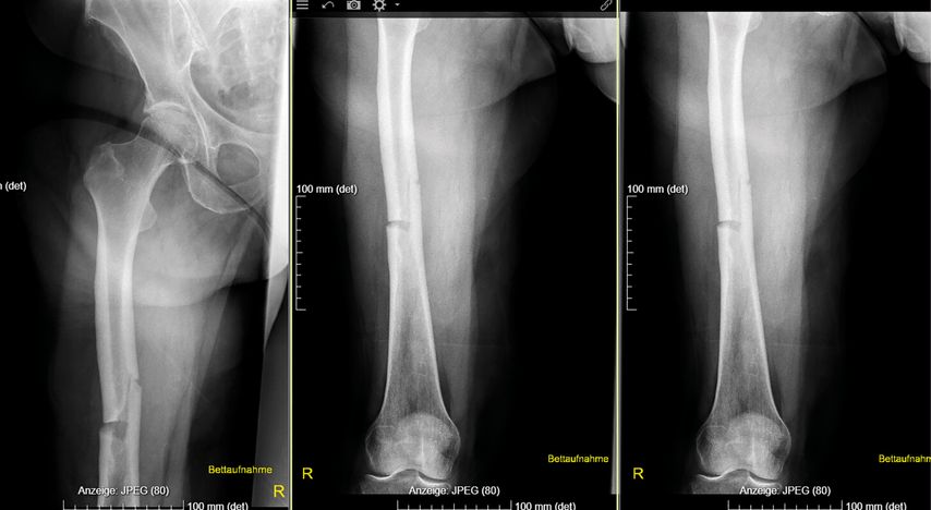
Atypische Frakturen & Bisphosphonate

Bisphosphonate sind Standard in der Osteoporosetherapie und wirksam in der Prävention osteoporotischer Frakturen. Allerdings sind sie in seltenen Fällen mit atypischen Frakturen, vor allem jenen des Femurs (AFF), assoziiert. In der Praxis kann das zu einem schwierigen Dilemma führen, für dessen Auflösung wenig Evidenz verfügbar ist.

Dr. Bernhard Rintelen von der 2. Medizinischen Abteilung am NÖ. Landesklinikum Weinviertel/Stockerau präsentierte den Fall einer 72-jährigen Patientin mit Zustand nach Hysterektomie mit Salpingektomie sowie nach einem nicht metastasierten Kolonkarzinom. Nach einer Netzhautablösung bestand eine deutliche Visusbeeinträchtigung; bei Vorhofflimmern wurde die Patientin mit einem DOAK antikoaguliert. Die Familienanamnese war hinsichtlich Frakturen unauffällig. Mit 70 Jahren hatte die Patientin eine Femurfraktur erlitten. Die aktuelle Vorstellung erfolgte aufgrund multipler Wirbelkörperfrakturen sowie einer niedrigtraumatischen Sakrumfraktur. In der Bildgebung zeigten sich innerhalb weniger Monate wiederholt neue Einbrüche weiterer Wirbelkörper, das Labor war unauffällig. Eine Osteoporose war bekannt, insgesamt hatte die Patientin über 14 Jahre Bisphosphonate erhalten (9 Jahre oral, 5 Jahre Ibandronat i.v.). Eine osteoanabole Therapie war geplant; Teriparatid wurde aufgrund der Visusprobleme abgelehnt, weshalb eine Behandlung mit Romosozumab erfolgte. Nach einem Jahr zeigte sich eine Konsolidierung ohne weitere Wirbelkörperfrakturen.

Sie sind bereits registriert?
Loggen Sie sich mit Ihrem Universimed-Benutzerkonto ein:

Login

Sie sind noch nicht registriert?
Registrieren Sie sich jetzt kostenlos auf universimed.com und erhalten Sie Zugang zu allen Artikeln, bewerten Sie Inhalte und speichern Sie interessante Beiträge in Ihrem persönlichen Bereich zum späteren Lesen. Ihre Registrierung ist für alle Unversimed-Portale gültig. (inkl. allgemeineplus.at & med-Diplom.at)

Registrieren

Back to top