 
„Auf Lunge und Nieren geprüft“ – Rheuma trifft Lunge, oder war’s doch wieder Covid-19?
Autoren:
Dr. Guangyu Shaoa
Dr. David Lang, PhDa
Dr. Johannes Phillip Klägerb
Univ.-Prof. Dr. Bernd Lamprechta
aKlinik für Lungenheilkunde
Kepler Universitätsklinikum Linz
bAbteilung für Pathologie
Medizinische Universität Wien
Vielen Dank für Ihr Interesse!
Einige Inhalte sind aufgrund rechtlicher Bestimmungen nur für registrierte Nutzer bzw. medizinisches Fachpersonal zugänglich.
Sie sind bereits registriert?
Loggen Sie sich mit Ihrem Universimed-Benutzerkonto ein:
Sie sind noch nicht registriert?
Registrieren Sie sich jetzt kostenlos auf universimed.com und erhalten Sie Zugang zu allen Artikeln, bewerten Sie Inhalte und speichern Sie interessante Beiträge in Ihrem persönlichen Bereich
zum späteren Lesen. Ihre Registrierung ist für alle Unversimed-Portale gültig. (inkl. allgemeineplus.at & med-Diplom.at)
Interstitielle Lungenerkrankungen (ILD) umfassen eine Vielzahl an Krankheitsentitäten mit unterschiedlichen zugrunde liegenden Pathomechanismen, die durch Umwelteinflüsse, Infektionen oder Systemerkrankungen bedingt sein können. Die Granulomatose mit Polyangiitis kann zum Beispiel als Multisystemerkrankung mit nekrotisierender Gefäßentzündung in etwa 90% der Fälle die Lunge betreffen. Neben steigender Lebenserwartung und besseren diagnostischen Möglichkeiten gewinnen ILD aktuell auch als Folge von Covid-19 zunehmend an Bedeutung.
Keypoints
- 
Interstitielle Lungenerkrankungen erfordern ein interdisziplinäres Vorgehen in der Diagnostik, das nach Möglichkeit in spezialisierten Zentren stattfinden sollte. 
- 
Die Granulomatose mit Polyangiitis ist eine Multisystemerkrankung mit nekrotisierender Vaskulitis, wobei die Lunge das am häufigsten betroffene Organ darstellt. 
- 
Covid-19 steht im Zusammenhang mit zahlreichen Autoimmunprozessen, wobei deren klinische Bedeutung noch nicht hinreichend untersucht ist. 
Interstitielle Lungenerkrankungen (ILD) bilden eine große Gruppe von Krankheitsentitäten mit heterogener Ätiologie und unspezifischen klinischen Merkmalen. Die Diagnostik stellt sich daher oft schwierig dar und erfordert eine multidisziplinäre Zusammenarbeit.1
Die Granulomatose mit Polyangiitis (GPA) ist eine Multisystemerkrankung mit nekrotisierender granulomatöser Gefäßentzündung und kann die Lunge in etwa 90% der Fälle betreffen.2 Pulmonale Symptome reichen von Dyspnoe, Reizhusten, Hämoptysen bis hin zum respiratorischen Versagen. Eine weitere gefürchtete Komplikation ist die renale Beteiligung, die über eine rasch progressive Glomerulonephritis zum Nierenversagen führen kann. Die Testung auf antineutrophile zytoplasmatische Antikörper (ANCA) und das Thorax-CT können maßgeblich zur Diagnostik beitragen. Eine frühzeitige Therapie mit Rituximab und hochdosiertem Prednisolon ist in schweren Fällen essenziell, um lebendbedrohliche Organschädigungen abzuwenden.4
Berichten zufolge kann Covid-19 sowohl klinisch einer GPA ähnlich sein als auch eine solche auslösen und zur Bildung von ANCA führen.5,6 Am vorliegenden Fallbeispiel aus der ILD-Ambulanz unserer Klinik für Lungenheilkunde am Kepler Universitätsklinikum in Linz sollen die diagnostischen Herausforderungen von ILD besonders vor dem Hintergrund der aktuellen Pandemie aufgezeigt werden.
Fallbericht: Covid-19, GPA oder beides?
Anamnese
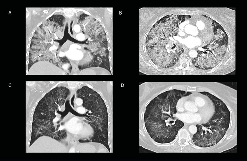
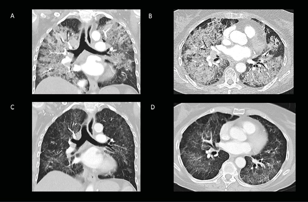
Eine 71-jährige Patientin stellt sich Mitte Dezember 2020 an der Notaufnahme aufgrund zunehmender Dyspnoe mit trockenem Husten und Fieber seit vier Wochen vor. Sie hat keine Lungenvorerkrankungen und ist Nieraucherin. Anamnestisch hat es einen rezenten Covid-19-Kontakt im häuslichen Umfeld gegeben. Klinisch entwickelt die Patientin eine rasch progrediente, hypoxämische Ateminsuffizienz mit einem Sauerstoffbedarf von 12l/min. Im Labor imponierten deutlich elevierte Entzündungsparameter mit Leukozyten von 12,75G/l, CRP von 29,8mg/dl sowie Interleukin6 von 261pg/ml, wobei das Procalcitonin im Normbereich lag. Außerdem war eine normozytäre und normochrome Anämie mit einem Hämoglobin von 6,9mg/dl auffällig. Im Thoraxröntgen fanden sich ausgedehnte, interstitiell kleinfleckige und peripher betonte Infiltrate in beiden Lungenhälften, wobei sichin der Thorax-CT eine massive alveoläre Anschoppung in allen Lungenabschnitten darstellen ließ (Abb. 1).
Abb. 1: A und B: CT-Thorax zum Zeitpunkt der Aufnahme mit disseminierter alveolärer Anschoppung in allen Lungenabschnitten. C und D: CT-Thorax zwei Wochen nach Therapie
Pulmonales Geschehen
Wiederholte PCR-Testungen auf SARS-CoV-2, ein Rachenabstrich auf RSV und Influenzaviren sowie Screeninguntersuchung auf Pneumokokken, Legionellen, Chlamydien und Mykoplasmen verblieben negativ. Mehrfach angelegte Blut- und Sputumkulturen zeigten keinen Keimnachweis. Eine Untersuchung der Bronchiallavage auf Pneumocystis jirovecii, Tuberkulose, Aspergillose und nochmals auf SARS-CoV-2 lieferte auch keine diagnostischen Hinweise. Bronchoskopisch zeigte sich das Bronchialsystem bei unauffälliger Anatomie mit hämorrhagischen Auflagerungen. In der bronchoalveolären Lavage konnte eine neutrophile Zelldominanz mit unauffälliger Lymphozytenfraktion festgestellt werden. Aufgrund der Anamnese und der Laborkonstellation bestand trotz fehlenden PCR-Nachweises ein hochgradiger Verdacht auf Covid-19, sodass wir die Antikörper auf SARS-CoV-2 bestimmt haben. Diese erwiesen sich mit Erhöhung der IgA und IgG über dem messbaren Bereich als stark positiv, entsprechend einer frischen bzw. kürzlich durchgemachten Erkrankung. Eine multimodale Therapie bestehend aus hochdosiertem Prednisolon, Breitbandantibiose mit Piperacillin und Tazobactam sowie Combivent-Feuchtinhalationen wurde eingeleitet, worunter es zu einer raschen Besserung der Atemsituation kam.
Renales Geschehen
Parallel zum pulmonalen Geschehen kam es zu einer Verschlechterung der Nierenfunktion bei anfänglich völlig unauffälligem Befund. Neben einer Kreatininerhöhung waren eine deutliche Proteinurie und Mikrohämaturie feststellbar, mit dysmorphen Erythrozyten und Eryzylindern im Harnsediment. Bei einer umfangreichen Autoimmundiagnostik zeigten sich die ANCA als hochtitrig positiv, mit deutlich erhöhten Antiproteinase-3-Antikörpern. Eine Nierenbiopsie wurde nach einem nephrologischen Konsilium durchgeführt, wobei die Glomerula histologisch eine segmentale Schlingennekrose mit Halbmondbildung zeigten und Immunkomplex- oder Komplementablagerungen nicht nachweisbar waren (Abb. 2).
Abb. 2: Das linke Glomerulum zeigt eine fokale segmentale Schlingennekrose mit Fibrinextravasation und zellulärer Halbmondbildung. Als Gegenüberstellung ist rechts ein unauffälliges Glomerulum ohne morphologische Veränderungen dargestellt.
Diagnose GPA
Diese Befundkonstellation passt zu einer pauciimmunen nekrotisierenden Glomerulonephritis, womit die Diagnose einer GPA gesichert werden konnte. Es wurde nach hochdosierter Cortisongabe eine immunsuppressive Therapie mit Rituximab begonnen, gemeinsam mit Prednisolon in Erhaltungsdosis. Unter diesem Therapieregime präsentierte sich die Patientin im weiteren Verlauf sowohl respiratorisch als auch renal mit einer deutlichen Befundbesserung.
Covid-19 und Autoimmunerkrankungen
Dieser Fall wurde schließlich in einer interdisziplinären Expertenrunde, im Sinnes eines ILD-Boards, besprochen. Das radiologische Muster ist laut dem Schlussbericht eher untypisch für eine GPA, sondern spricht mehr für eine organisierende Pneumonie bei durchgemachter Covid-19. Das rasche Therapieansprechen auf Prednisolon und die Klinik würden aber wiederum zum Vorliegen einer GPA passen. Schlussendlich konnte eine Überlappung beider Erkrankungen nicht ausgeschlossen werden. Ein Blick in die Literatur zeigt, dass Covid-19 nicht nur zur Entstehung einer GPA führen kann, sondern auch im kausalen Zusammenhang mit zahlreichen anderenAutoimmunerkrankungensteht.5,7 Dies könnte als Ausdruck fehlgesteuerter immunologischer Prozesse durch Covid-19 interpretiert werden. Im Einklang mit dieser Beobachtung zeigen andere Studien, dass Autoantikörper bei einem beträchtlichen Teil der Patienten mit Covid-19 detektiert werden können, unter anderem auch ANCA.6,7 Die klinische Bedeutung dieses Phänomens ist allerdings noch nicht gänzlich verstanden und ist Gegenstand aktueller Forschung.
Fazit
Die Diagnostik von ILD stellt Kliniker häufig vor große Herausforderungen. Eine standardisierte Abklärung unter Einbeziehung anderer Fachdisziplinen ist dabei essenziell.1 Mit über 200 betreuten Patienten pro Jahr steht die ILD-Ambulanz der Klinik für Lungenheilkunde am Kepler Universitätsklinikum in Linz für diesbezügliche Anfragen und fachlichen Austausch gerne zur Verfügung.
Literatur:
1 Lang D et al.: Consensus-Statement der Österreichischen Gesellschaften für Pneumologie und Rheumatologie zur Definition, Evaluation und Therapie von progredient fibrosierenden interstitiellen Lungenerkrankungen (pfILD). Wien Klin Wochenschr 2021; 133(2): 23-32 2 Watts RA, Robson J: Introduction, epidemiology and classification of vasculitis. Best Pract Res Clin Rheumatol 2018; 32(1): 3-2 3 George PM et al.: Pulmonary fibrosis and COVID-19: the potential role for antifibrotic therapy. Lancet Respir Med 2020; 8(8): 807-15 4 Schirmer JH et al.: S1-Leitlinie Diagnostik und Therapie der ANCA-assoziierten Vaskulitiden. Z Rheumatol 2017; 76: 77-104 5 Selvaraj V et al.: COVID-19-induced granulomatosis with polyangiitis. BMJ Case Rep 2021; 14(3): e242142 6 Duran TI et al.: ANCA-associated vasculitis after COVID-19. Rheumatol Int 2021; 41(8): 1523-9 7 Liu Y et al.: COVID-19 and autoimmune diseases. Curr Opin Rheumatol 2021; 33(2): 155-62
Das könnte Sie auch interessieren:
Nichttuberkulöse Mykobakterien (NTM): Klinik, Diagnose und Therapie
Infektionen mit nichttuberkulösen Mykobakterien nehmen global signifikant zu. Die Unterscheidung von Kolonisation, transienter Infektion und NTM-Erkrankung kann klinisch sehr schwierig ...
Innovative Pharmakotherapien bei ILD
Derzeit befinden sich mehrere Wirkstoffe für die Behandlung von idiopathischer pulmonaler Fibrose (IPF) und progredienter pulmonaler Fibrose (PPF) in der Entwicklung, wobei verschiedene ...
 
 
 
 
