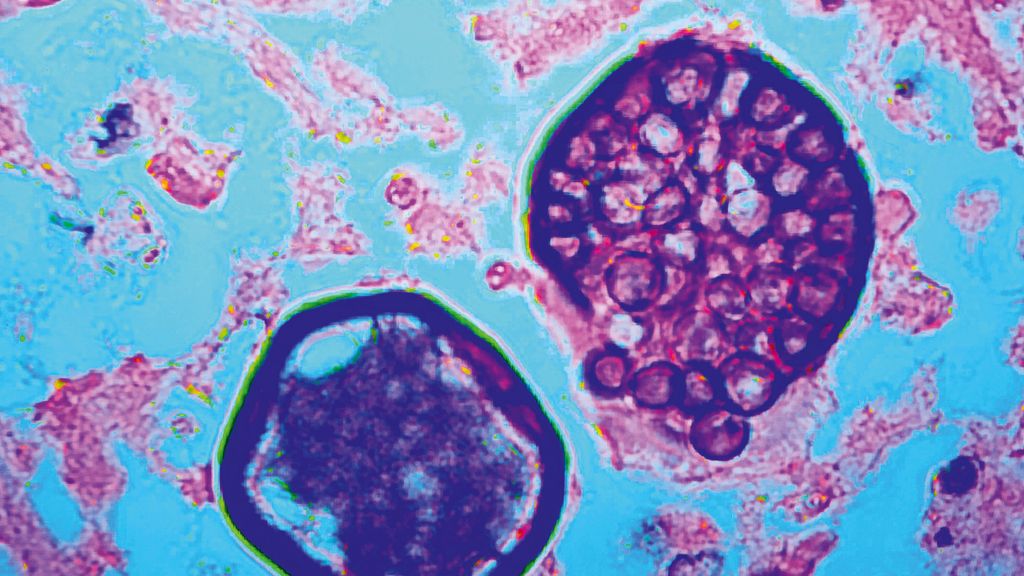
Seltene pulmonale Mykosen: Reisemitbringsel oder doch schon heimisch?
Autor:
Univ.-Prof. Dr. Helmut Salzer, MPH, FECMM
Klinische Abteilung für Infektiologie und Tropenmedizin
Universitätsklinikum für Innere Medizin 4 – Pneumologie
Kepler Universitätsklinikum, Linz
Medizinische Fakultät
Johannes Kepler Universität, Linz
Ignaz Semmelweis Institut, Wien
Sie sind bereits registriert?
Loggen Sie sich mit Ihrem Universimed-Benutzerkonto ein:
Sie sind noch nicht registriert?
Registrieren Sie sich jetzt kostenlos auf universimed.com und erhalten Sie Zugang zu allen Artikeln, bewerten Sie Inhalte und speichern Sie interessante Beiträge in Ihrem persönlichen Bereich
zum späteren Lesen. Ihre Registrierung ist für alle Unversimed-Portale gültig. (inkl. allgemeineplus.at & med-Diplom.at)
Das könnte Sie auch interessieren:
Frailty und Lungentransplantation – Reversibilität, Risiko und Perspektiven
Patient:innen mit terminalen Lungenerkrankungen – etwa COPD, idiopathischer Lungenfibrose oder zystischer Fibrose – präsentieren sich zum einen oft mit reduzierten Reserven und ...
ILD und ILA: von der Früherkennung zur personalisierten Nachsorge
Das Erkennen interstitieller Lungenanomalien (ILA) als potenzielle Frühstadien interstitieller Lungenerkrankungen (ILD) und die gezielte Identifikation von Hochrisikopatient:innen ...