Sonografie der Leber – aktuelle Entwicklungen, quantitative Verfahren und klinische Bedeutung
Autoren:
Prof. Dr. med. Wolfgang Kratzer
Dr. med. Andreas Binzberger
Sektion Ultraschall
Klinik für Innere Medizin
Universitätsklinikum Ulm
Korrespondierender Autor:
Prof. Dr. med. Wolfgang Kratzer
Sie sind bereits registriert?
Loggen Sie sich mit Ihrem Universimed-Benutzerkonto ein:
Sie sind noch nicht registriert?
Registrieren Sie sich jetzt kostenlos auf universimed.com und erhalten Sie Zugang zu allen Artikeln, bewerten Sie Inhalte und speichern Sie interessante Beiträge in Ihrem persönlichen Bereich
zum späteren Lesen. Ihre Registrierung ist für alle Unversimed-Portale gültig. (inkl. allgemeineplus.at & med-Diplom.at)
Der vorliegende Übersichtsartikel fasst aktuelle technische Entwicklungen sowie klinische Anwendungen und Limitationen der Lebersonografie zusammen und diskutiert deren Stellenwert im Kontext der neuen Nomenklatur der steatotischen Lebererkrankungen (SLD) einschliesslich MASLD und MASH.
Keypoints
-
Die Sonografie ist das zentrale nichtinvasive Verfahren zur Diagnostik und Prognoseabschätzung bei Lebererkrankungen.
-
CEUS ermöglicht die zuverlässige Differenzierung benigner und maligner Leberläsionen.
-
Elastografische und Attenuationsverfahren liefern quantitative Informationen zu Fibrose und Steatose.
-
Die Kombination beider Verfahren erhöht die diagnostische Präzision.
-
Neue Nomenklaturen und Leitlinien unterstreichen die klinische Bedeutung der quantitativen Sonografie.
-
Die Qualität der Untersuchung hängt massgeblich von Gerät, Untersucherexpertise und standardisiertem Vorgehen ab.
Die Sonografie der Leber zählt zu den wichtigsten bildgebenden Methoden in der hepatologischen Diagnostik. Technologische Innovationen der letzten Jahrzehnte haben das Spektrum dieser Methode wesentlich erweitert: vom rein morphologischen Verfahren hin zu einer multiparametrischen Modalität, die Gewebecharakterisierung, Perfusionsanalyse und quantitative Parameter kombiniert. Die nichtinvasive Natur, die breite Verfügbarkeit und die kontinuierliche Geräteoptimierung machen die Sonografie zu einem zentralen Werkzeug in der Abklärung und Verlaufsbeurteilung leberbezogener Erkrankungen.1
Technische Entwicklungen in der Lebersonografie
Mit der Einführung der Echtzeit-Sonografie Ende der 1970er- und Anfang der 1980er-Jahre kamen stetig neue innovative Ultraschallverfahren auf den Markt. Erste 3D-Ultraschallsysteme, wie das Kretz Combison 530 (1989), markierten den Beginn einer Phase rascher Innovation. Es folgten hochauflösende Systeme (z.B. Siemens Elegra, 1995),Panoramasonografie sowie farbcodierte und Power-Doppler-Techniken, die eine verbesserte Gefässdarstellung ermöglichten.2
Kontrastverstärkte Sonografie (CEUS)
Die Entwicklung und Einführung der kontrastverstärkten Sonografie («contrast-enhanced ultrasound»; CEUS) zu Beginn der 2000er-Jahre haben die sonografische Bildgebung wesentlich erweitert. Sie ermöglicht erstmals die dynamische Beurteilung der Leberperfusion in Echtzeit. Mikrobläschenhaltige Kontrastmittel (z.B. SonoVue®) werden intravenös appliziert und reflektieren den Ultraschall bei niedrigen mechanischen Indizes (MI 0,05–0,2), wodurch eine hohe Sensitivität für vaskuläre Veränderungen erzielt wird. Es handelt sich um ein rein intravaskuläres Kontrastmittel mit sehr seltenen Nebenwirkungen.
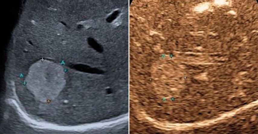
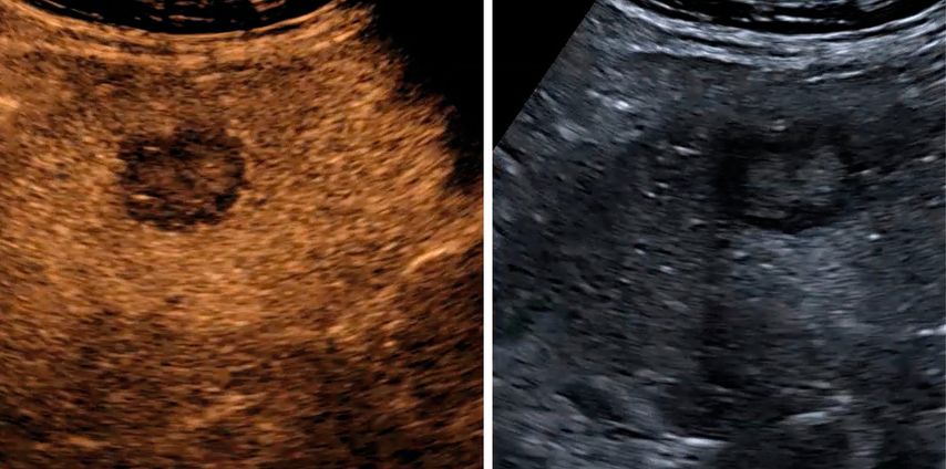
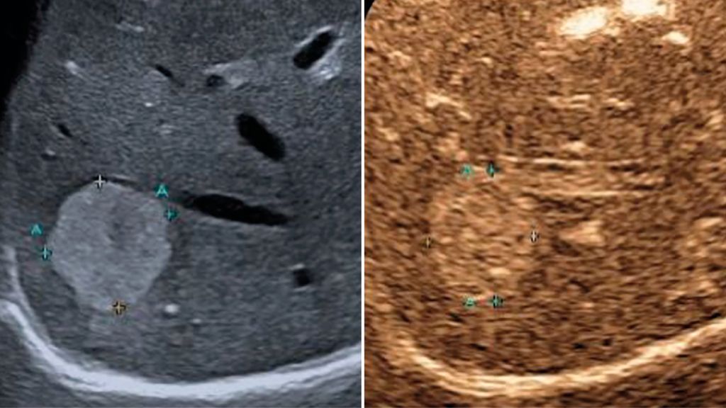
In der früharteriellen Phase zeigen benigne Läsionen wie Hämangiome typische Füllungsmuster ohne «wash-out» in der Portal- oder Spätphase (Abb.1). Maligne Läsionen hingegen weisen meist ein rasches «wash-out» auf und stellen sich in der Spätphase hypokontrastiert dar (Abb.2).3,4
Abb. 1: Typisches Kontrastmittelverhalten eines Hämangioms in der Spätphase mit Hyperenhancement gegenüber dem umgebenden Leberparenchym (rechts)
Abb. 2: Darstellung einer hochgradig Metastasen-suspekten Raumforderung bei Mamma-Neoplasie im linken Leberlappen im B-Bild-Modus (rechts) sowie in der Spätphase nach Gabe von 1,6 ml SonoVue® mit Darstellung eines deutlichen «Wash-out»-Phänomens in der Spätphase 4 Minuten nach Injektion des Kontrastmittels (links)
Leberscreening
Trotz der hohen Aussagekraft moderner Ultraschallgeräte im B-Mode kann derzeit – mit Ausnahme des Screenings auf hepatozelluläre Karzinome bei chronischen Lebererkrankungen – kein generelles Leberscreening empfohlen werden.5 Die Mehrzahl fokaler Leberläsionen ist benigne, darunter fokale Steatosen, Zysten, Hämangiome oder fokale noduläre Hyperplasien (Abb.3). Maligne Raumforderungen sind in populationsbasierten Studien selten.6
Abb. 3: Darstellung einer fokalen nodulären Hyperplasie (FNH) in der arteriellen Frühphase nach Gabe von 1,2ml SonoVue® mittels CEUS (links) und in der mikrovaskulären Bildgebung (Canon®-superb «Microvascular imaging»-Modus), wo die Radspeichenstruktur besser zur Darstellung kommt
Mikrovaskuläre Bildgebung
Mit der Weiterentwicklung der Ultraschalltechnik hat sich in den letzten Jahren die mikrovaskuläre Bildgebung etabliert, welche die Darstellung kleinster Gefässe auch ohne Kontrastmittelgabe ermöglicht. Diese Verfahren nutzen spezielle Filter- und Signalverarbeitungstechniken, um langsame Blutflüsse von Gewebebewegungen zu differenzieren. Je nach Hersteller werden unterschiedliche Bezeichnungen verwendet, sie verfolgen jedoch das gemeinsame Ziel, die Beurteilung der Mikrovaskularisation zu verbessern und damit Diagnostik und Therapiekontrolle zu präzisieren.7
Parametrische und quantitative Verfahren
Elastografische Verfahren
Die transiente Elastografie (FibroScan®, Echosens) wurde 2003 eingeführt und gilt als Referenzverfahren zur nichtinvasiven Beurteilung der Leberfibrose. Die Messung der Ausbreitungsgeschwindigkeit von Scherwellen erlaubt eine Abschätzung der Lebersteifigkeit. Neben der transienten Elastografie stehen heute die punktuelle Scherwellenelastografie (pSWE) und die zweidimensionale Scherwellenelastografie (2D-SWE) zur Verfügung, welche eine lokale beziehungsweise flächenhafte Darstellung der Elastizität ermöglichen.
Aktuelle Metaanalysen bestätigen für pSWE und 2D-SWE eine hohe diagnostische Genauigkeit zur Detektion signifikanter und fortgeschrittener Leberfibrose, vergleichbar mit der vibrationskontrollierten transienten Elastografie (VCTE), weisen jedoch eine relevante Untersucherabhängigkeit sowie modalitäts- und gerätespezifische Variabilität der Cut-off-Werte auf.8,9 Die transiente Elastografie ist technisch gut standardisiert, zeigt jedoch Limitationen bei Adipositas und Aszites und erlaubt keine simultane B-Mode-Darstellung.
Eine aktuelle systematische Übersichtsarbeit und Metaanalyse von Wilson et al. mit über 80000 Untersuchungen bei MASLD-Patient:innen zeigte für VCTE, pSWE, 2D-SWE und Magnetresonanzelastografie (MRE) vergleichbare Sensitivitäten von etwa 90% bei niedrigen, modalitätsabhängigen Schwellenwerten, ohne signifikante Unterschiede zwischen den Verfahren.10 Gleichzeitig wurde für einen Grossteil der Studien ein erhöhtes Verzerrungsrisiko identifiziert, was die Bedeutung standardisierter Untersuchungsprotokolle unterstreicht.
Für die Strain-Elastografie konnte bislang keine klinisch valide oder reproduzierbare Cut-off-Definition zur Stadieneinteilung der Leberfibrose etabliert werden; ihr Einsatz bleibt daher auf qualitative oder semiquantitative Fragestellungen beschränkt.11
Attenuationsverfahren
Zur nichtinvasiven Quantifizierung der Lebersteatose haben sich in den letzten Jahren quantitative ultraschallbasierte Verfahren etabliert, die die qualitative B-Mode-Beurteilung sinnvoll ergänzen. Der «controlled attenuation parameter» (CAP), verfügbar im FibroScan®-System (Echosens), misst die Abschwächung des Ultraschallsignals im Lebergewebe und korreliert mit dem histologischen Fettgehalt. Aufgrund der breiten Evidenzbasis wird CAP häufig als Referenzmethode in klinischen Studien eingesetzt.14
Moderne Ultraschallsysteme bieten bildgeführte Attenuationsverfahren wie «attenuation imaging» (ATI) oder den «ultrasound-guided attenuation parameter» (UGAP), die eine standardisierte Messung unter visueller Kontrolle ermöglichen.15 Die «ultrasound-derived fat fraction» (UDFF) erlaubt darüber hinaus die Angabe eines prozentualen Fettanteils und zeigt eine hohe Übereinstimmung mit der MR-basierten «proton density fat fraction».16
Weitere Hersteller bieten ebenfalls quantitative Verfahren zur Steatosebestimmung an, deren Ergebnisse gerätespezifisch sind. Für alle quantitativen Verfahren ist eine standardisierte Messdurchführung essenziell. Eine Übersicht über die verfügbaren Methoden ist in Tabelle 1 dargestellt.
Tab. 1: Alle Verfahren beruhen auf der quantitativen Analyse der Ultraschallabschwächung im Lebergewebe, unterscheiden sich jedoch in technischer Implementierung und Ergebnisdarstellung. «Herstellerabhängig» bedeutet, dass Einheit, Skalierung und Grenzwerte je nach Ultraschallsystem variieren und derzeit nicht vollständig standardisiert sind. Im Gegensatz dazu liefern Verfahren wie der «controlled attenuation parameter» (CAP; Angabe in dB/m) oder die «ultrasound-derived fat fraction» (UDFF; Angabe in Prozent) klar definierte, herstellerübergreifend interpretierbare Messgrössen
Neue Nomenklatur und klinische Implikationen (MASLD, MASH, SLD)
Die 2023 eingeführte neue Nomenklatur der steatotischen Lebererkrankungen ist für viele klinisch tätige Ärzt:innen zunächst ungewohnt, bildet jedoch die Grundlage für ein zeitgemässes Verständnis moderner sonografischer Diagnostik. Die früheren Begriffe NAFLD und NASH wurden durch MASLD («metabolic dysfunction-associated steatotic liver disease») und MASH («metabolic dysfunction-associated steatohepatitis») ersetzt; Mischformen mit moderatem Alkoholkonsum werden als MetALD bezeichnet.17 Die Sonografie bleibt der primäre bildgebende Zugang zur Detektion der Steatose. Quantitative Verfahren wie CAP, ATI und UDFF sowie elastografische Methoden zur Fibrosebeurteilung nehmen in der neuen S2k-Leitlinie einen zentralen Stellenwert ein.18
Interventionelle Lebersonografie
Neben den nichtinvasiven Verfahren bleibt die sonografisch gesteuerte Leberpunktion ein etablierter Bestandteil der diagnostischen Abklärung fokaler und diffuser Lebererkrankungen. Die Echtzeit-Bildführung ermöglicht eine präzise Nadelplatzierung und reduziert das Risiko von Komplikationen. Darüber hinaus dient die Sonografie als Navigationsverfahren für therapeutische Eingriffe, insbesondere für die perkutane Mikrowellenablation von Lebertumoren, die eine minimalinvasive Behandlungsalternative zur chirurgischen Resektion darstellt.19
Blutungen zählen zu den häufigsten Komplikationen nach perkutaner Leberpunktion; signifikante Ereignisse treten in etwa 1–3% der Fälle auf. In ausgewählten Situationen können sonografisch gesteuerte interventionelle Massnahmen zur Lokalisation und Koagulation iatrogener Blutungsquellen eingesetzt werden.20 Damit verbindet die Sonografie initiale Diagnostik, quantitative Risikoabschätzung und interventionelle Therapie und stellt ein unverzichtbares Instrument der modernen Hepatologie dar.
Praktische Aspekte und Limitationen
Die Aussagekraft der Lebersonografie hängt entscheidend ab von
-
der Qualität des Ultraschallgeräts,
-
der Erfahrung des Untersuchers,
-
den Schallbedingungen (Adipositas, Meteorismus) und
-
der Patientenkooperation.
Die grösste Herausforderung besteht häufig weniger im Befunden der Bilder als in der Generierung hochwertiger Schallbilder selbst. Standardisierte Untersuchungsprotokolle tragen entscheidend zur Reproduzierbarkeit bei.
Zusammenfassung
Die Sonografie der Leber hat in den vergangenen Jahrzehnten einen erheblichen technologischen und klinischen Fortschritt erfahren. Von der klassischen B-Mode-Sonografie bis hin zu kontrastverstärkten, elastografischen und multiparametrischen Verfahren steht heute ein breites Spektrum nichtinvasiver Methoden zur Verfügung, das einedifferenzierte Beurteilung fokaler und diffuser Lebererkrankungen ermöglicht. Moderne Ultraschallsysteme erlauben neben der morphologischen Darstellung zunehmend auch quantitative Aussagen zur Steatose, Fibrose und Perfusion des Lebergewebes.
Die interventionelle Lebersonografie, einschliesslich sonografisch gesteuerter Punktionen und ablativer Verfahren wie der Mikrowellenablation, stellt einen integralen Bestandteil der diagnostischen Abklärung unklarer Leberläsionen und des therapeutischen Spektrums dar.
Literatur:
1 Kratzer W elt al.: Ultraschalldiagnostik: Differenzierte Sicht – Verbesserung – bessere Kostenerstattung. Dtsch Med Wochenschr 2023; 148(9): 577-82 2 European Federation ofSocieties for Ultrasound in Medicine and Biology (EFSUMB): History of ultrasound in Germany. https://efsumb.org/wp-content/uploads/2021/11/History-Ultrasound-Germany-v2-1.pdf ; zuletzt aufgerufen am 26.1.2026 3 Seitz K et al.: Contrast-enhanced ultrasound (CEUS) versus MRI for characterization of focal liver lesions: a prospective multicenter trial in 269 patients. Ultraschall Med 2010; 31(5): 492-9 4 Seitz K et al.: Contrast-enhanced ultrasound (CEUS) versus CT for characterization of focal liver lesions: a prospective multicenter study. Ultraschall Med 2009; 30(4): 383-9 5 Mohnasky M et al.: Hepatocellular carcinoma screening: from current standard of care to future directions. J Am Coll Radiol 2025; 22(3): 260-8 6 Kaltenbach TE et al.: Prevalence of benign focal liver lesions: ultrasound investigation of 45,319 hospital patients. Abdom Radiol (NY) 2016; 41(1): 25-32 7 Aziz MU et al.: Microvascular flow imaging: a state-of-the-art review of clinical use and promise. Radiology 2022; 305(2): 250-64 8 Sandrin L et al.: Transient elastography: a new noninvasive method for assessment of hepatic fibrosis. Ultrasound Med Biol 2003; 29(12): 1705-13 9 Ferraioli G et al.: WFUMB guideline on liver multiparametric ultrasound: Part 1 – update to 2018 guidelines on liver ultrasound elastography. Ultrasound Med Biol 2024; 50(8): 1071-87 10 Wilson MP et al.: Comparing FIB-4, VCTE, pSWE, 2D-SWE and MRE thresholds and diagnostic accuracies for detecting hepatic fibrosis in patients with MASLD: a systematic review and meta-analysis. Diagnostics (Basel) 2025; 15(13): 1598 11 Nowotny F, Kratzer W: SOP Scherwellenelastografie (Acoustic Radiation Force Impulse, ARFI). Gastroenterol up2date 2021; 17(2): 115-22 12 Dietrich CF et al.: EFSUMB guidelines and recommendations on the clinical use of liver ultrasound elastography: update 2017 (long version). Ultraschall Med 2017; 38(4): e16-47 13 Kobayashi K et al.: Diagnostic accuracy of real-time tissue elastography for the staging of liver fibrosis: a meta-analysis. Eur Radiol 2015; 25: 230-8 14 Karlas T et al.: Individual patient data meta-analysis of controlled attenuation parameter for assessing hepatic steatosis. J Hepatol 2017; 66: 1022-30 15 Ferraioli G et al.: Quantification of liver fat content with attenuation imaging and ultrasound-guided attenuation parameters: current evidence and clinical applications. Ultrasound Med Biol 2024; 50: in press 16 Lee DH et al.: Ultrasound-derived fat fraction for quantification of hepatic steatosis: a systematic review and meta-analysis. Eur Radiol 2025; 35: in press 17 Rinella ME et al.: A multisociety Delphi consensus statement on new fatty liver disease nomenclature. J Hepatol 2023; 80(2): 546-64 18 Roeb E et al.: Aktualisierte S2k-Leitlinie nicht-alkoholische Fettlebererkrankung. Z Gastroenterol 2022; 60(9): 1346-421 19 Glassberg MB et al.: Microwave ablation compared with radiofrequency ablation for treatment of hepatocellular carcinoma and liver metastases: a systematic review and meta-analysis. Onco Targets Ther 2019; 12: 6407-38 20 Dietrich CF et al.: EFSUMB guidelines on interventional ultrasound (INVUS), Part I: general aspects and abdominal interventions. Ultraschall Med 2020; 41(2): 150-73
Das könnte Sie auch interessieren:
Portale Hypertonie – neue diagnostische und therapeutische Möglichkeiten
Patientinnen und Patienten mit portaler Hypertonie haben ein hohes Risiko, an Komplikationen wie gastroösophagealen Varizen und Blutungen, Aszites oder hepatischer Enzephalopathie zu ...
UEGW 2025: Neues aus der Hepatologie
In der Indikation metabolisch bedingte Lebersteatose bzw. Steatohepatitis scheiterten über viele Jahre zahlreiche Therapieversuche. Seit Kurzem stehen erstmals wirksame Therapien zur ...
Fünf Therapien zur Behandlung von MASLD
Mit zunehmendem Übergewicht in der Bevölkerung wird auch die mit metabolischer Dysfunktion assoziierte steatotische Lebererkrankung (MASLD) vermehrt diagnostiziert. PD Dr. Dr. med. David ...