Neueste Entwicklungen der spinalen Endoskopie
Autoren:
Dr. Wolfgang Thomae
Dr. Nico Stroh-Holly
Dr. Andreas Gruber
Priv.-Doz. Dr. Dr. Wolfgang Senker
Universitätsklinik für Neurochirurgie, Johannes Kepler Universität Linz, Kepler Universitätsklinikum Linz
Korrespondenz:
Sie sind bereits registriert?
Loggen Sie sich mit Ihrem Universimed-Benutzerkonto ein:
Sie sind noch nicht registriert?
Registrieren Sie sich jetzt kostenlos auf universimed.com und erhalten Sie Zugang zu allen Artikeln, bewerten Sie Inhalte und speichern Sie interessante Beiträge in Ihrem persönlichen Bereich
zum späteren Lesen. Ihre Registrierung ist für alle Unversimed-Portale gültig. (inkl. allgemeineplus.at & med-Diplom.at)
Die endoskopische Wirbelsäulenchirurgie hat sich von einer rein perkutanen Technik zu einer hochpräzisen, technisch ausgereiften Methode entwickelt, die ein weites Spektrum degenerativer und zunehmend auch komplexer Pathologien adressiert. Integrative Technologien wie Augmented Reality, Navigation und robotische Assistenz markieren den Beginn einer neuen Ära der spinalen Endoskopie.
Die demografische Alterung, der steigende Stellenwert von Lebensqualität und die wachsenden Erwartungen von Patienten an moderne Behandlungsverfahren haben die Nachfrage nach minimalinvasiven Therapien bei degenerativen Wirbelsäulenerkrankungen erheblich verstärkt. Vor diesem Hintergrund hat sich die minimalinvasive Wirbelsäulenchirurgie (MISS) zu einem wesentlichen Bestandteil der Versorgung entwickelt.1–3 Während mikroskopisch assistierte Operationen lange als Goldstandard galten, hat sich die endoskopische Wirbelsäulenchirurgie (ESS) als konsequente Weiterentwicklung von MISS etabliert.4 Geringere Invasivität, muskel- und gelenkschonende Technik prägen diesen Ansatz.
Insbesondere Orthopäden zeigen sich dieser Methode zugewandt – nicht zuletzt aufgrund der engen Parallelen zur Arthroskopie, die seit Jahren ein fester Bestandteil der orthopädischen Ausbildung ist. Studien zeigen, dass etwa 85 % der endoskopischen Chirurgen einen orthopädischen Hintergrund haben und das Potenzial als besonders hoch bewerten.5 Eine Einschätzung der Benefits und Limitationen ist selbst für erfahrene Chirurgen oftmals schwer möglich. Dieser Beitrag gibt einen systematischen Überblick über die technischen Grundlagen, Indikationen, Limitationen und schafft einen Ausblick auf zukünftige Entwicklungen. Besonderes Augenmerk liegt dabei auf neuen Anwendungsfeldern und der Integration innovativer Technologien, die das Spektrum der Endoskopie wesentlich erweitern können.
Moderne Endoskoptechnik
Die Ursprünge der Technik lassen sich auf Parviz Kambin (1973) und Sadahisa Hijikata (1975) zurückführen, die ein Verfahren beschrieben, bei dem ein posterolateraler Zugang für die fluoroskopisch gesteuerte perkutane Diskektomie mittels Kanüle genutzt wurde.6 Moderne uniportale Endoskope zeichnen sich durch eine angulierte Optik (4k-Kamera) und Spülausgänge zur kontinuierlichen Irrigation und Aufrechterhaltung des hydrostatischen Druckes im OP-Gebiet aus. Durch die Winkeloptik entsteht ein Sichtfeld, das den Innendurchmesser der Führungshülse übertrifft. Über den zentralen Arbeitskanal können Instrumente sowie gebogene Koagulationssonden für die Gewebepräparation eingebracht werden. Die dezentral an der Endoskopspitze positionierte Kamera erlaubt eine 360°-Rundumsicht um das Arbeitsinstrument. Vollendoskopie stellt die minimalinvasivste und am weitesten verbreitete Methode der spinalen Endoskopie dar. Abbildung 1 zeigt vollendoskopische Endoskopsysteme für zervikale, thorakale und lumbale Wirbelsäuleneingriffe (RIWOspine GmbH, 75438 Knittlingen, Germany) sowie Endoskopspitzen mit angulierter Kamera, Funktionskanäle für Irrigation und Arbeitsinstrumente.
Die unilaterale Biportal-Technik (Unilateral Biportal Endoscopy; UBE) verwendet neben dem endoskopischen Zugang einen weiteren für das Arbeitsinstrument und ist damit der Arthroskopietechnik sehr ähnlich. Sie ist ebenso durch minimales Gewebetrauma, frühe Patientenmobilisierung und Rekonvaleszenz gekennzeichnet. Neben den instrumentell-technischen Entwicklungen kam es zu einer kontinuierlichen Weiterentwicklung der chirurgischen Zugangswege, die in einer standardisierten Definition und Nomenklatur endoskopisch-spinaler Eingriffe mündete.
Der aktuelle Stellenwert der endoskopischen Wirbelsäulenchirurgie
Die Lendenwirbelsäule
Der transforaminäre Zugang
Der transforaminäre Zugang ist der weltweit am häufigsten verwendete endoskopische Zugang und eignet sich für Operationen an der Brust- und Lendenwirbelsäule.7 Entscheidend ist die sichere Positionierung des Endoskops unter fluoroskopischer Kontrolle im Kambin-Dreieck. Ein Verständnis der radiologischen Bildgebung und anatomischer Restriktionen – wie etwa des Beckenkamms – sind nötige chirurgische Anforderungen für die präzise Positionierung des Endoskops. Der Bandscheibenraum bildet hier die Ausgangszone für die weitere Operation. Strukturen wie Nerven, Duralsack und Facettengelenk werden sekundär dargestellt.8–9 Der Zugang eignet sich nicht nur für intraforaminäre Diskektomien. Selbst komplexe Fälle mit migrierten Bandscheibensequestern und Neuroforamenstenosen können adressiert werden.10 Insbesondere kraniale Segmente der Lendenwirbelsäule können aufgrund der Grössenzunahme der Neuroforamina transforaminär gut erreicht werden. Seine Limitation erfährt der Zugang bei der koinzidenten zentralen Spinalkanalstenose.
Der interlaminäre Zugang
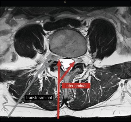
Der interlaminäre endoskopische Zugang bietet Vorteile in den Segmenten L4/5 und L5/S1 aufgrund der Weite des Interlaminärfensters. Dem Chirurgen kommen dabei die Erfahrungen des offenen interlaminären Zugangs zugute, da die Ausrichtung des Sichtfeldes und anatomische Orientierung ident sind. Während der transforaminäre Zugang vorwiegend bei Diskektomien zum Einsatz kommt, hat die Entwicklung des IL-Zugangs das Indikationsspektrum erweitert. Zentrale Spinalkanalstenosen, Rezessusstenosen, aber auch die kontralaterale Foraminotomie sind mögliche Einsatzgebiete.11–13 Abbildung 2 illustriert die interlaminäre (roter Pfeil) und transforaminäre (grauer Pfeil) endoskopische lumbale Zugangstrajektorien (MRI-t2-gewichtet). Abbildung 3 zeigt das Kambin-Dreieck. Dieses weist die Form eines rechtwinkligen Dreiecks auf und wird durch die austretende Nervenwurzel (Hypotenuse), den Duralsack, den Processus articularis superior des Facettengelenkes und die Grundplatte (Basis) begrenzt. Es stellt eine sichere Landungszone für das Endoskop im Neuroforamen dar.
Anwendung und Evidenz der vollendoskopischen Wirbelsäulenchirurgie (FESS)
Angesichts der technischen Fortschritte – darunter die Verfügbarkeit unterschiedlichster Arbeitskanalendoskope, endoskopischer Frässysteme, Stanzen und abwinkelbarer Instrumentenspitzen – hat sich die endoskopische Wirbelsäulenchirurgie inzwischen zu einem effektiven Behandlungsansatz für die Mehrzahl degenerativer Pathologien entwickelt. Minimalinvasive Eingriffe sind Gegenstand von Diskussionen hinsichtlich Lernkurve und Effektivität.14,15 Neuere Verfahren bedürfen höchster Evidenz zur Wirksamkeit, um in der täglichen Praxis angenommen zu werden.
Lumbale vollendoskopische Diskektomie
Die Benefits erzielt die endoskopische Technik bei gering invasiven und technisch niedrig komplexen Eingriffen der Lendenwirbelsäule. Die interlaminäre (IL) und die transforaminäre (TF) endoskopische Diskektomie sind in Bezug auf radikuläre Schmerzreduktion und das funktionelle Outcome der offenen Mikrodiskektomie gleichwertig und hocheffektiv. Ruetten et al. konnten eine signifikant geringere Rate postoperativer Lumbago-Symptomatik nachweisen. Vorteile ergeben sich durch kürzere Operationszeiten, reduzierten Blutverlust, niedrigere Komplikations- und Revisionsraten sowie einen geringeren postoperativen Analgetikabedarf.16 In einer prospektiven randomisierten Studie an 143 Patienten zeigten sich im FE-Arm im 2-Jahres-Follow-up ein kürzerer stationärer Aufenthalt und eine deutliche Reduktion radikulärer Schmerzen im Vergleich zur offenen Mikrodiskektomie. Eigene Daten bestätigen diese Ergebnisse mit einer 90-Tage-Wiederaufnahmerate von lediglich 2% und einer mittleren Aufenthaltsdauer von 2,6 Tagen.17 Die Rezidivrate hängt sowohl von patientenbezogenen als auch von technischen Faktoren ab.18 Im direkten Vergleich ist die endoskopische Diskektomie der offenen Technik hier nicht unterlegen. Abbildung 4 zeigt die endoskopische Sicht einer interlaminären Diskektomie L5/S1 rechts (a–e) mit Darstellung des Sequesters (c, d) und der dekomprimierten Nervenwurzel S1 (e).
Lumbale vollendoskopische Dekompression
Bei zentraler Spinalkanalstenose und lateraler Rezessusstenose ermöglichen endoskopische Verfahren eine schonende und effektive Dekompression. Eingriffe können unilateral oder bilateral über die Over-the-top-Technik (ULBD) erfolgen. Randomisierte Studien belegen ein funktionell gleichwertiges Outcome im Vergleich zur offenen Dekompression, jedoch bei günstigerem Risikoprofil, kürzerem stationärem Aufenthalt und früherer Mobilisierung.13,19 Bei 161 Patienten mit lateraler Rezessusstenose konnte eine Überlegenheit der vollendoskopischen Operation hinsichtlich Operationszeit, Blutverlust, Komplikationsrate und Revisionshäufigkeit demonstriert werden.19 Am eigenen Patientenkollektiv bei 80 interlaminären vollendoskopischen Dekompressionen konnten 76% der Patienten bereits am Operationstag mobilisiert werden. Über die generellen Vorteile der spinalen Endoskopie hinaus zeigt sich, dass bestimmte Patientengruppen in besonderem Masse profitieren. Hierzu zählen adipöse Patienten, (Leistungs-)Sportler mit dem Bedürfnis nach rascher funktioneller Erholung und minimiertem Gewebetrauma sowie ältere Patienten, bei denen eine erhöhte Invasivität die Mobilisierung weiter einschränken würde und die dadurch profitieren. Abbildung 5 zeigt eine präoperative (linkes Bild) und postoperative (rechtes Bild) 3D-CT-Rekonstruktion nach endoskopischer unilateraler Laminotomie mit bilateraler Dekompression (ULBD) bei L4/5 und L5/S1 (Abb. 5).
Der adipöse Patient
Die zunehmende Prävalenz der Adipositas stellt ein ernst zu nehmendes Problem für die Gesundheitssysteme der westlichen Welt dar, da bei lumbalen Operationen ein erhöhtes Komplikationsrisiko besteht.8 Bae et al. untersuchten 48 Patienten und fanden zwischen adipösen (BMI>30) und normalgewichtigen Patienten (BMI<25) keine Unterschiede hinsichtlich Outcome, perioperativer Komplikationen und Rezidivrate. Auch die Aufenthaltsdauer und der intraoperative Blutverlust zwischen den Gruppen waren gleich.20
Der sportliche Patient
Sportler weisen aufgrund hoher mechanischer Belastungen eine erhöhte Prävalenz von Lumbago und chronisch-degenerativen Veränderungen der LWS auf.21 Für Leistungssportler ist der zeitnahe Wiedereintritt in Training und Wettkampf von existenzieller Bedeutung. Endoskopische spinale Eingriffe können aufgrund der geringeren Invasivität und des geringeren Muskeltraumas eine schnellere Rehabilitation bei gleichzeitig geringerer Komplikationsrate ermöglichen. In einer Metaanalyse zeigten Sivakanthan et al., dass 88% der Athleten bereits innerhalb von drei Monaten nach endoskopischen lumbalen Eingriffen in den Wettkampf zurückkehrten, während dies nach offenen Verfahren nur bei 81% der Fall war und die Rückkehr im Mittel deutlich später erfolgte (5,2–8,7 Monate).22
Der alte Patient
Gerade gebrechliche Patienten profitieren von FESS, da transforaminäre und interlaminäre Verfahren das Weichteiltrauma minimieren und die Rekonvaleszenz verkürzen. Studien demonstrieren eine vergleichbare Schmerzreduktion wie bei Jüngeren, wenngleich funktionelle Verbesserungen durch altersassoziierte Komorbiditäten begrenzt sein können.23 Der verminderte postoperative Schmerz erleichtert die Mobilisierung.
Lumbale interkorporelle Fusion
Die minimalinvasive transforaminale lumbale interkorporelle Fusion (Minimally Invasive Transforaminal Lumbar Interbody Fusion; MIS-TLIF) hat in den letzten Jahren an Bedeutung gewonnen, die aufgrund des geringeren Gewebetraumas mit einer früheren Rekonvaleszenz verbunden ist.24 Aus den gleichen Gründen rückt die endoskopische transforaminäre Interbody Fusion (Endo-TLIF) in den Fokus der Aufmerksamkeit. Endo-TLIF ist eine Erweiterung der MIS-TLIF und erfordert eine unilaterale Resektion des Facettengelenkes. Die Grund- und Deckplattenpräparation gilt als entscheidender Faktor, der die Fusionsrate beeinflusst.24 Die Möglichkeit, unter klarer endoskopischer Sicht die Endplatten präzise darzustellen, erlaubt eine ideale Aufbereitung des Fusionsbettes. Dies könnte zu einer Erhöhung der Fusionsrate beitragen. Zudem profitieren die Patienten durch eine raschere Erholung, einen geringeren Opioidbedarf, eine frühzeitige Mobilisierung und eine verkürzte stationäre Verweildauer.25 Limitationen liegen aktuell bei höhergradigen Listhesen und kollabierten Bandscheibenräumen vor.26 Um das Potenzial der Methodik zu untermauern, bedarf es robuster Studien mit erhöhtem Evidenzlevel sowie eines einheitlichen Standards der endoskopischen Fusionstechniken. Abbildung 6 zeigt eine Planungsanwendung (MazorX® Application, Fa. Medtronic) für Endoskoptrajektorie und Pedikelschraubenimplantation im Rahmen der Endo-TLIF-Operation (a, b). Abbildung b zeigt einen oblique eingebrachten Cage (eFuse® expandable, Fa. Evospine), Abbildung c einen Nukleusresektor (Fa. RIWOspine) bei Präparation des Fusionsbettes. Abbildung d zeigt, dass eine Cagedistraktion unter direkter Sicht möglich ist.
Die Brustwirbelsäule
Symptomatische thorakale Bandscheibenvorfälle stellen mit 1% aller chirurgisch behandelten Vorfälle eine Seltenheit dar. Allerdings zeichnet sich die chirurgische Behandlung durch eine beträchtliche Morbidität aus. Der transforaminäre endoskopische Zugang ist eine Alternative zur bestehenden offenen Methodik.27
Die Halswirbelsäule
Der zervikale Bandscheibenvorfall und die Neuroforamenstenose sind weitere klinische Einsatzgebiete der spinalen Endoskopie. Insbesondere die posteriore endoskopische Foraminotomie und Diskektomien nehmen an Bedeutung zu. Die Sicherheit des Verfahrens wird durch effektive Hämostase und klare Sicht dank kontinuierlicher Irrigation unterstützt. Ruetten et al. konnten in einer RCT an 175 Patienten zeigen, dass die posteriore endoskopische Foraminotomie im Vergleich zur ACDF ein gleichwertiges neurologisches Ergebnis erzielt, bei erhaltener Beweglichkeit des operierten Segmentes.28 In unserer Abteilung wird die Technik bei ossären Neuroforamenstenosen und intraforaminären Bandscheibenvorfällen gewählt. Abbildung 7 zeigt einen intraforaminären Diskusprolaps C6/7 rechts im präoperativen MRI (c, d), die endoskopische Sicht auf Duralsack, Nervenwurzel C7 rechts und Sequester (Stern, a) in der Nervenachsel (a) sowie die Ansicht auf die dekomprimierte Wurzel (b). Des Weiteren zeigt sie eine intraoperative Positionskontrolle während der medialen Facettenresektion C6/7 (e).
Zukünftige Entwicklungen der spinalen Endoskopie
Navigation
Um die Lernkurve in der ESS abzukürzen, wurden in der jüngeren Zeit Versuche unternommen, Navigationssysteme in die ESS zu integrieren. Navigation liefert hochpräzise intraoperative Echtzeitdaten zur Anatomie und bietet exakte Führung bei der Platzierung der Instrumente, die mit herkömmlicher (2D-)Fluoroskopie nicht erreichbar sind.29 Intraoperative Computertomografie und darauf basierende Navigationssysteme stellen eine sichere und effektive Alternative dar. In der konventionellen Wirbelsäulenchirurgie ermöglicht die intraoperative O-Arm-Navigation eine hohe Genauigkeit bei der Pedikelschraubenplatzierung und reduziert Komplikationen.30 Navigationssysteme unterstützen in der ESS die Bestimmung von Trajektorie, Inzisionspunkt und Instrumentenlage und tragen so zur Verkürzung der Lernkurve bei.31,32
Quillo-Olvera et al. zeigten, dass die intraoperative Navigation die Sicherheit der Pedikelschraubenfixation und die präzise Endoskoppositionierung bei TLIF verbessert.33 Klassische Navigationssysteme erfordern optische Marker, die im Operationsgebiet zusätzlichen Platz benötigen. Dieser Einschränkung kann unter Verwendung elektromagnetischer Navigationssysteme (EMN) bei vollendoskopischen Verfahren begegnet werden.33 Randomisierte Studien mit EMN weisen eine geringere Strahlenbelastung und signifikante Reduktion der Operationszeit auf.34 Zukünftig bieten diese Systeme das Potenzial, die Sicherheit zu erhöhen und gleichzeitig die Lernkurve abzukürzen. Abbildung 8 zeigt ein intraoperatives Setup während Endo-TLIF-Operation mit integriertem O-Arm (Fa. Medtronic), navigationsgestütztem Robotersystem (MazorX®) und Endo-Turm mit Funktionseinheiten (Fa. RIWOspine) (a, b). Darüber hinaus illustriert sie eine transforaminäre Diskektomie unter Verwendung des elektromagnetischen Navigationssystems (RIWOtrack®, Fa. RIWOspine) mit Abbildung des Multipads zur Instrumentenkalibrierung (c), EMN mit dargestellten Referenzmarkern und Endoskopiebild (d).
Augmented Reality und Mixed Reality
Augmented Reality (AR) beschreibt ein interaktives Erlebnis, das die real gesehene Welt mit einem computergenerierten Bild verbindet. Auf die Welt der Wirbelsäulenchirurgie übertragen, sind AR-Systeme Navigationshilfen im OP.35 Während herkömmliche Navigationssysteme Limitationen der Visualisierung aufweisen, ermöglichen Head-Mounted Displays (HMD) die parallele Darstellung des OP-Feldes und der Navigationsdaten. Zudem hilft der Einsatz, die Strahlenbelastung und Operationszeit zu reduzieren.36,37 Eine Erweiterung des Einsatzgebietes liegt in der Bestimmung der Zieltrajektorie endoskopischer Eingriffe.
Robotergestützte Chirurgie
Höhere Genauigkeit, kürzere Krankenhausaufenthalte und geringere Strahlenexposition sind die Gründe für den Einsatz bei der Pedikelschrauben-Implantation.32 Zusätzlich bieten sie den Vorteil der exakten physischen Führung, um präoperativ geplante chirurgische Trajektorien in der Endoskoppositionierung umzusetzen. Wang et al. setzten robotische Assistenz bei vollendoskopischen lumbalen Diskektomien ein und konnten Sicherheit und Effektivität als Alternative zur konventionell fluoroskopischen ESS bestätigen.38 Im eigenen Haus wurde das Verfahren bei der endoskopischen TLIF-Operation angewandt.
Fazit und Ausblick
Von den Anfängen der spinalen Endoskopie in den 1970er-Jahren bis heute hat die Methodik eine beeindruckende und rasante Entwicklung durchlaufen. Ursprünglich für die perkutane Diskektomie der Lendenwirbelsäule konzipiert, wird die Technik nun auch für Eingriffe an der Hals- und Brustwirbelsäule eingesetzt. Dank neuer Fortschritte sind Anwendungen bei Spinalkanalstenosen, Myelopathien und in der Fusionschirurgie jetzt möglich. Auch die Resektion extraduraler Tumoren konnte mithilfe der ESS erfolgreich realisiert werden. Dennoch bleibt die Hauptanwendung die Behandlung degenerativer Wirbelsäulenerkrankungen. Zukünftig wird die Bedeutung der Methodik durch fortschrittliche endoskopische Systeme und die Einbindung neuer Verfahren wie Augmented Reality, Robotik und 3D-Bildgebung verstärkt. Durch die wachsende Zahl älterer und multimorbider Patienten wird die ESS eine noch zentralere Rolle einnehmen. Das chirurgische Spektrum und die Bedeutung der Wirbelsäulenchirurgie erfahren durch die Endoskopie einen substanziellen Mehrwert und bieten dem behandelnden Chirurgen eine Technik, die das Potenzial des Fachgebietes weiter stärkt.
Literatur:
1 Cooper MA et al.: Hospital level under-utilization of minimally invasive surgery in the United States: retrospective review. BMJ 2014; 349: g4198 2 Jones CH, Dolsten M: Healthcare on the brink: navigating the challenges of an aging society in the United States. NPJ Aging 2024; 10(1): 22 3 Ishimoto Y et al.: Prevalence of symptomatic lumbar spinal stenosis and its association with physical performance in a population-based cohort in Japan: the Wakayama Spine Study. Osteoarthritis Cartilage 2012; 20(10): 1103-8 4 Gunjotikar S et al.: Evolution, current trends, and latest advances of endoscopic spine surgery. J Clin Med 2024; 13(11): 3208 5 Kotheeranurak V et al.: Surgeons’ perspective, learning curve, motivation, and obstacles of full-endoscopic spine surgery in thailand: results from a nationwide survey. Biomed Res Int 2022; 4971844 6 Mayer HM: A history of endoscopic lumbar spine surgery: what have we learnt? Biomed Res Int 2019; 4583943 7 Lin GX et al.: Worldwide research productivity in the field of full-endoscopic spine surgery: a bibliometric study. Eur Spine J 2020; 29(1): 153-60 8 Bae JS, Lee SH: Transforaminal full-endoscopic lumbar discectomy in obese patients. Int J Spine Surg 2016; 10: 18 9 Lewandrowski KU: The strategies behind “inside-out” and “outside-in” endoscopy of the lumbar spine: treating the pain generator. J Spine Surg 2020; 6(S1): 35-9 10 Kim JY et al.: How I do it? Full endoscopic transforaminal approach for lumbar disc herniation that migrated bilaterally to four corners. Acta Neurochir 2021; 163(4): 1199-203 11 Birjandian Z et al.: Interlaminar endoscopic lateral recess decompression – surgical technique and early clinical results. J Spine Surg 2017; 3(2): 123-32 12 Cheng Y et al.: Percutaneous endoscopic interlaminar discectomy for L5-S1 calcified lumbar disc herniation: a retrospective study. Front Surg 2022; 9: 998231 13 Komp M et al.: Bilateral spinal decompression of lumbar central stenosis with the full-endoscopic interlaminar versus microsurgical laminotomy technique: a prospective, randomized, controlled study. Pain Physician 2015; 18(1): 61-70 14 Lewandrowski KU et al.: Difficulties, challenges, and the learning curve of avoiding complications in lumbar endoscopic spine surgery. Int J Spine Surg 2021; 15(Suppl 3): 21-37 15 Wu PH et al.: A systematic review of complications associated with the initial learning curve of endoscopic spine surgery highlighting the necessity of introducing an effective fellowship to train competent endoscopic spine surgeons. Int J Spine Surg 2020; 9(5) 16 Ruetten S et al.: Full-endoscopic interlaminar and transforaminal lumbar discectomy versus conventional microsurgical technique: a prospective, randomized, controlled study. Spine 2008; 33(9): 931-9 17 Gibson JNA et al.: A randomised controlled trial of transforaminal endoscopic discectomy vs. microdiscectomy. Eur Spine J 2017; 26(3): 847-56 18 Shin BJ: Risk factors for recurrent lumbar disc herniations. Asian Spine J 2014; 8(2): 211-5 19 Ruetten S et al.: Surgical treatment for lumbar lateral recess stenosis with the full-endoscopic interlaminar approach versus conventional microsurgical technique: a prospective, randomized, controlled study. J Neurosurg Spine 2009; 10(5): 476-85 20 Yu H et al.: Evaluation of full-endoscopic lumbar discectomy in the treatment of obese adolescents with lumbar disc herniation: a retrospective study. BMC Musculoskelet Disord 2021; 22(1): 562 21Bergamaschi JPM et al.: Perspectives of endoscopic spine surgery in athletes and practitioners of physical activity.doi: 10.5772/intechopen.100143022 Sivakanthan S et al.: Endoscopic spine surgery in athletes: case series and review of literature. World Neurosurg 2021; 145: 702-7 23 Leyendecker J et al.: Full-endoscopic spine surgery in the elderly and patients with comorbidities. Sci Rep 2024; 14: 29188 24 Wu PH et al.: Uniportal full-endoscopic posterolateral transforaminal lumbar interbody fusion with endoscopic disc drilling preparation technique for symptomatic foraminal stenosis secondary to severe collapsed disc space: a clinical and computer tomographic study with technical note. Brain Sci 2020; 10(6): 373 25 Kim HS et al.: A narrative review of uniportal endoscopic lumbar interbody fusion: comparison of uniportal facet-preserving trans-Kambin endoscopic fusion and uniportal facet-sacrificing posterolateral transforaminal lumbar interbody fusion. Int J Spine Surg 2021; 15(3): 72-83 26 Xiao S et al.: Comparison of endoscopic and minimally invasive transforaminal lumbar interbody fusion for lumbar degenerative diseases: a meta-analysis. Clin Spine Surg 2024; 37(2): 56-66 27 Choi KY et al.: Percutaneous endoscopic thoracic discectomy: transforaminal approach. Minim Invasive Neurosurg 2010; 53(1): 25-8 28 Ruetten S et al.: Full-endoscopic cervical posterior foraminotomy for the operation of lateral disc herniations using 5.9-mm endoscopes: a prospective, randomized, controlled study. Spine (Phila Pa 1976) 2008; 33(9): 940-8 29 Mayberg MR et al.: Image-guided endoscopy: description of technique and potential applications. Neurosurg Focus 2005; 19(1): E10 30 Habib N et al.: Use of intraoperative CT improves accuracy of spinal navigation during screw fixation in cervico-thoracic region. Spine (Phila Pa 1976) 2021; 46(8): 530-7 31 Fan G et al.: Trajectory planning and guided punctures with isocentric navigation in posterolateral endoscopic lumbar discectomy. World Neurosurg 2017; 103: 899-905 32Hahn BS, Park JY: Incorporating new technologies to overcome the limitations of endoscopic spine surgery: navigation, robotics, and visualization. World Neurosurg 2021; 145: 712-21 33 Wu J et al.: Novel electromagnetic-based navigation for percutaneous transforaminal endoscopic lumbar decompression in patients with lumbar spinal stenosis reduces radiation exposure and enhances surgical efficiency compared to fluoroscopy: a randomized controlled trial. Ann Transl Med 2020; 8(19): 1215 34 Wu B et al.: A real-time 3D electromagnetic navigation system for percutaneous transforaminal endoscopic discectomy in patients with lumbar disc herniation: a retrospective study. BMC Musculoskelet Disord 2022; 23(1): 57 35 Ghaednia H et al.: Augmented and virtual reality in spine surgery: current applications and future potentials. Spine J 2021; 21(10): 1617-25 36 Yuk FJ et al.: Current innovation in virtual and augmented reality in spine surgery. Ann Transl Med 2021; 9(1): 94 37 Molina CA et al.: Augmented reality-assisted pedicle screw insertion: a cadaveric proof-of-concept study. J Neurosurg Spine 2019; 31(1): 139-46 38 Wang Z et al.: Minimally invasive trans-superior articular process percutaneous endoscopic lumbar discectomy with robot assistance. BMC Musculoskelet Disord 2022; 23(1): 1144
Das könnte Sie auch interessieren:
Die Indikationsstellung und Wertigkeit der lumbopelvinen Stabilisierung
Die lumbopelvine Stabilisierung bietet als etabliertes Verfahren eine hohe biomechanische Stabilität. In diesem Artikel werden anhand der aktuellen Literatur und Empfehlungen die ...
Seltene Kleingefässvaskulitiden im Fokus
Bei Vaskulitiden der kleinen Gefässe liegt eine nekrotisierende Entzündung der Gefässwand von kleinen intraparenchymatösen Arterien, Arteriolen, Kapillaren und Venolen vor. Was gilt es ...
Elektive Hüft-TEP bei Adipositas Grad III
Übergewichtige Patient:innen leiden früher als normalgewichtige Personen an einer Hüft- oder Kniearthrose. Allerdings sieht die aktuelle S3-Leitlinie zur Behandlung der Coxarthrose in ...