© Migma_Agency - stock.adobe.com

Eine aussergewöhnliche Ursache von Hämoptysen

Wenn Atmen gefährlich wird …

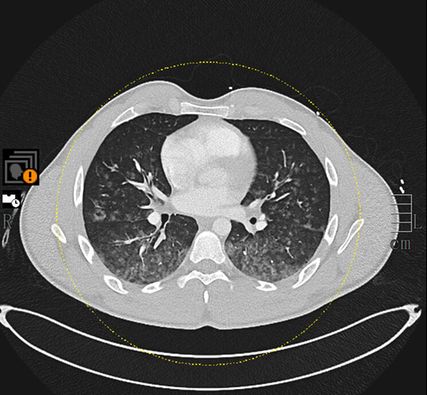
Dass Hämoptysen auch durch ungewöhnliche Aktivitäten verursacht werden können, zeigt der folgende Fallbericht. Ein junger Patient wurde bewusstlos und mit Blutspuren vorgefunden und in die Notfallambulanz gebracht. Nachdem unterschiedliche Differenzialdiagnosen ausgeschlossen werden konnten, ergab sich eine unvermutete Genese seiner Symptomatik.

Aktive Hämoptysen stellen einen häufigen pneumologischen Notfall dar und bedürfen im Verlauf oft einer Bronchoskopie zur Blutstillung und Diagnostik. Es gibt eine Vielzahl an möglichen Genesen, wobei im klinischen Alltag vor allem Tumorerkrankungen, entzündliche Prozesse, Lungenembolien und Gefässmalformationen häufige Ursachen darstellen. Eine äusserst seltene Ursache von Hämoptysen ist das Zerreissen von Kapillaren durch hohe transpulmonale Drücke bei extremen sportlichen Belastungen («exercise-induced pulmonary hemorrhage»).

Sie sind bereits registriert?
Loggen Sie sich mit Ihrem Universimed-Benutzerkonto ein:

Login

Sie sind noch nicht registriert?
Registrieren Sie sich jetzt kostenlos auf universimed.com und erhalten Sie Zugang zu allen Artikeln, bewerten Sie Inhalte und speichern Sie interessante Beiträge in Ihrem persönlichen Bereich zum späteren Lesen. Ihre Registrierung ist für alle Unversimed-Portale gültig. (inkl. allgemeineplus.at & med-Diplom.at)

Registrieren

Back to top