La radiothérapie adjuvante demeure un élément central dans le traitement des tumeurs malignes cutanées, malgré les progrès réalisés avec les immunothérapies et les thérapies ciblées. ...
Les thérapies systémiques contre le cancer prolongent la survie et permettent de contrôler les maladies tumorales. Il est déterminant que les patient·es tolèrent bien le traitement. Cela ...
Chez les patient·es à faible risqueatteint·es de syndromes myélodysplasiques (SMD), l’anémie nécessitant des transfusions constitue souvent le principal problème altérant la qualité de ...
La prise en charge individualisée du carcinome mammaire est déjà très avancée dans la pratique clinique quotidienne. Néanmoins, des récidives tumorales surviennent et des patient·es ...
De nombreuses données d’études intéressantes sur la leucémie lymphoïde chronique (LLC) ont été présentées lors du congrès de l’ASH cette année. La question de savoir si un traitement ...
Focus: cardiomyopathie hypertrophique
Dans notre focus sur la cardiomyopathie hypertrophique (CMH), nous avons réuni pour vous des articles pertinents sur cette maladie. À l’occasion de nouvelles possibilités thérapeutiques, de nombreux aspects...
Après une autogreffe de cellules souches, le traitement d’entretien par lénalidomide constitue le standard chez les patient·es atteint·es d’un myélome multiple nouvellement diagnostiqué ...
The European Society of Cardiology Congress 2025 was held in Madrid (Spain) at the end of August 2025. It was very exciting in the area of interventional cardiology and especially of ...
Le développement des conjugués anticorps-médicament («antibody-drug conjugates», ADC) a profondément modifié le traitement, en particulier du carcinome mammaire métastasé, et a nettement ...
Les corticoïdes oraux constituent le traitement de référence des exacerbations de l’asthme et sont également utilisés pour celles de la BPCO. Cette norme s’appuie toutefois sur des ...
La diarrhée chronique est le symptôme de différentes maladies. Le Pr Alain Schoepfer a expliqué comment rechercher au mieux le facteur déclenchant dans son exposé lors du congrès annuel ...
De nombreuses personnes atteintes de BPCO et/ou d’asthme n’ont jamais été diagnostiquées et ne sont donc pas traitées. Plusieurs études publiées ces derniers mois se penchent sur ce ...
Plusieurs principes actifs sont actuellement en cours de développement dans le traitement de la fibrose pulmonaire idiopathique (FPI) et de la fibrose pulmonaire progressive (FPP), en ...
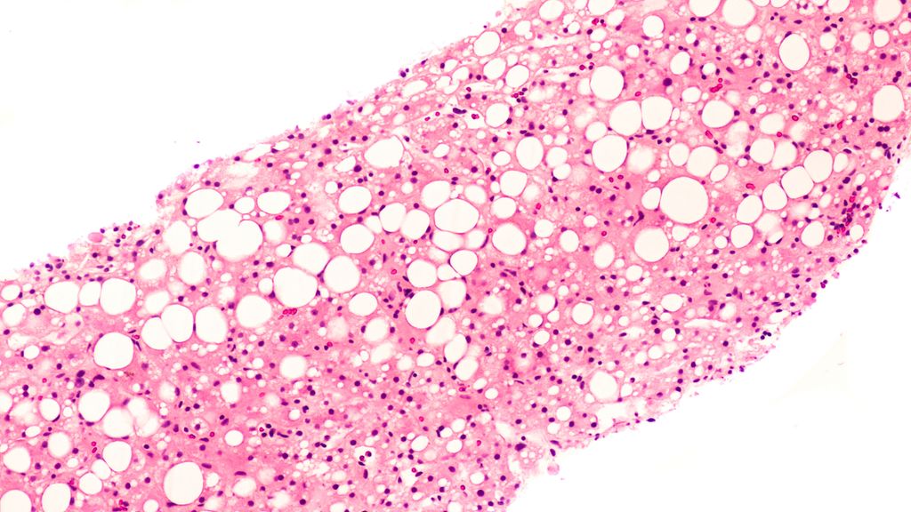
Dans l’indication de la maladie hépatique stéatosique ou de la stéatohépatite associée à un dysfonctionnement métabolique, beaucoup de tentatives de traitement ont échoué pendant de ...
Le Pr Dr méd. Markus Laimer, directeur adjoint et médecin-chef de la Clinique universitaire de diabétologie, endocrinologie, nutrition clinique et métabolisme (UDEM), Inselspitalde Berne ...
Le Pr Dr méd. Felix Beuschlein, directeur de la clinique d’endocrinologie, diabétologieet nutrition clinique de l’Hôpital universitaire de Zurich, a expliqué les effets des ...
En 2026, nous poursuivrons également la série populaire sur la gestion du diabète. On commence avec le diabète de type 2. Le Pr Dr méd. Roger Lehmann de l’Hôpital universitaire de Zurich ...
De jeunes équipes de recherche ont présenté leurs résultats dans le cadre des présentations de posters lors du congrès annuel de la Société Suisse de Néphrologie (SSN), à Interlaken. ...
Alors qu’un zona au niveau du thorax peut généralement être traité par un médecin de premier recours, une collaboration interdisciplinaire avec des ophtalmologues, ORL ou neurologues est ...
La polymyalgie rhumatismale (PMR) fait partie des maladies rhumatismales auto-immunes/inflammatoires les plus fréquentes chez les personnes âgées de >50 ans, avec une incidence de 111/ ...
Les options de traitement antiviral de l’infection par le VIH s’améliorent continuellement. D’autre part, les problèmes de comorbidités occupent davantage le devant de la scène, car ils ...
En octobre 2025, l’European AIDS Clinical Society (EACS) a présenté une version actualisée de ses lignes directrices européennes sur le traitement du VIH/sida.1 Depuis deux décennies, ...
Les agents anabolisants et les drogues sont interdits dans la pratique sportive. Les athlètes continuent pourtant de consommer ou d’utiliser de telles substances et risquent non ...
Bien que les femmes représentent environ 50% de notre société et plus de la moitié des étudiant·es en médecine, elles sont souvent sous-représentées dans les études, les directives et ...
En raison de l’évolution démographique, la prévalence des valvulopathies ne cesse d’augmenter et, par conséquent, le nombre de patient·es nécessitant une intervention sur les valves ...
Fortbildungen & Events
Finden Sie hier auf einen Blick unsere spannenden Veranstaltungsformate für unterschiedliche Fachrichtungen.
Kongress-News
In unseren Newsrooms berichten wir tagesaktuell von den Highlights der wichtigsten Kongresse.